-
Kenya's economy faces climate change risks: World Bank
-
Yoko says oh no to 'John Lemon' beer
-
Stocks sink amid fears over US-Iran ceasefire
-
Premier League losses soar for clubs locked in 'arms race'
-
For Israel's Circassians, food and language sustain an ancient heritage
-
'Super El Nino' raises fears for Asia reeling from Middle East conflict
-
Pulitzers honor damning coverage of Trump and his policies
-
US-Iran ceasefire on brink as UAE reports attacks
-
OpenAI co-founder under fire in Musk trial over $30 bn stake
-
Amazon to ship stuff for any business, not just its own merchants
-
Passengers stranded on cruise off Cape Verde following suspected virus deaths
-
What is hantavirus, and can it spread between humans?
-
Two dead as car ploughs into crowd in Germany's Leipzig
-
Demi Moore joins Cannes Festival jury
-
Two dead after car ploughs into people in Germany's Leipzig: mayor
-
Stars set for Met Gala, fashion's biggest night
-
France launches one-euro university meals for all students
-
Mysterious world beyond Pluto may have an atmosphere: astronomers
-
Energy crisis fuels calls to cut methane emissions
-
Hantavirus: spread by rodents, potentially fatal, with no specific cure
-
Musk vs OpenAI trial enters second week
-
Japan PM says oil crisis has 'enormous impact' in Asia-Pacific
-
Seoul, Taipei hit records as Asian stocks track Wall St tech rally
-
Boeing faces civil trial over 737 MAX crash
-
Pacific Avenue Capital Partners Enters into Exclusive Negotiations to Acquire ESE World, Amcor's European Waste Container Business
-
Three die on Atlantic cruise ship from suspected hantavirus: WHO
-
Two die in 'respiratory illness' outbreak on Atlantic cruise ship
-
More Nepalis drive electric, evading global fuel shocks
-
Latecomer Japan eyes slice of rising global defence spending
-
German fertiliser makers and farmers struggle with Iran war fallout
-
OPEC+ to make first post-UAE production decision
-
Massive crowds fill Rio's Copacabana beach for Shakira concert
-
US airlines step up as Spirit winds down
-
Aviation companies step up as Spirit winds down
-
'Bookless bookstore': audio-only book shop opens in New York
-
Venezuelan protesters call government wage hike a joke
-
S&P 500, Nasdaq end at fresh records on tech earnings strength
-
Pope names former undocumented migrant as US bishop of West Virginia
-
Trump says will raise US tariffs on EU cars to 25%
-
ExxonMobil CEO sees chance of higher oil prices as earnings dip
-
After Madonna and Lady Gaga, Shakira set for Rio beach mega-gig
-
King Charles gets warm welcome in Bermuda after whirlwind US visit
-
Coe hails IOC gender testing decision
-
Baguettes take centre stage on France's Labour Day
-
Iran offers new proposal amid stalled US peace talks
-
French hub monitors Hormuz tensions from afar
-
Oil steady after wild swing, stocks diverge in thin trading
-
Chinese swimmer Sun Yang reports cyberbullying to police
-
Iran activates air defences as Trump faces congressional deadline
-
India's cows offer biogas alternative to Mideast energy crunch
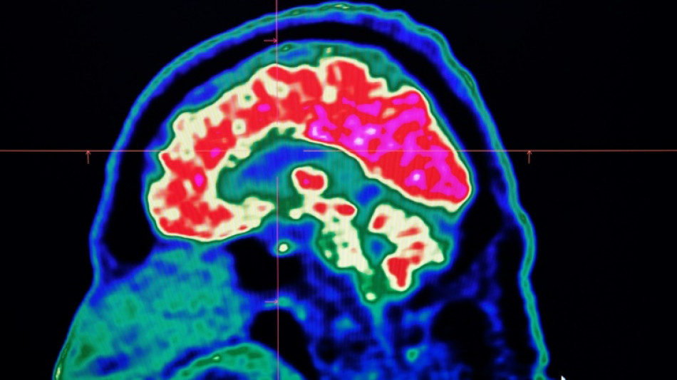
Surging nervous system disorders now top cause of illness: study
Conditions affecting the nervous system -- such as strokes, migraines and dementia -- have surged past heart disease to become the leading cause of ill health worldwide, a major new analysis said on Friday.
More than 3.4 billion people -- 43 percent of the global population -- experienced a neurological condition in 2021, far more than had previously been thought, the analysis found.
The study was carried out by hundreds of researchers led by the US-based Institute for Health Metrics and Evaluation (IHME), which has become a global reference for health statistics.
Lead study author Jaimie Steinmetz of the IHME said the results showed that nervous system conditions are now "the world's leading cause of overall disease burden".
Cases of these conditions have soared by 59 percent in the last three decades, she said, with the increase mainly driven by the fact that the world's population was ageing and growing fast.
The researchers looked at how 37 different neurological conditions affected ill health, disability and premature death across 204 countries and territories from 1990 to 2021.
This data was used to estimate how many years of healthy life were lost to each condition, called disability-adjusted life years (DALYs).
More than 443 million years of healthy life were lost to nervous system disorders globally in 2021, an 18-percent increase from 1990, the study found.
However, if the population's age and growing size was adjusted for, DALYs and deaths from these conditions actually fell by around a third, the researchers said.
Stroke, which was previously counted as a heart disease, was by far the worst neurological condition analysed, accounting for 160 million years of healthy life lost.
It was followed by a form of brain damage called neonatal encephalopathy, migraine, dementia including Alzheimer's disease, nerve damage from diabetes, meningitis and epilepsy.
Cognitive impairment from Covid-19 ranked 20th.
The main reason that nervous system conditions surpassed cardiovascular disease in the latest analysis was a recent World Health Organization classification change that moved stroke into the neurological category, Steinmetz told AFP.
The massive number of healthy years lost from these conditions was partly because several can kill children under five, such trauma during birth leading to neonatal encephalopathy, asphyxia or meningitis, she said.
"Because deaths occur at a young age, this creates a large contribution to years of life lost," she added.
Children accounted for nearly a fifth of all healthy years lost, the study found.
- 'Growing very fast' -
More than 11 million people died from the 37 neurological conditions in 2021, according to the study in The Lancet Neurology journal.
However cardiovascular disease remained the leading cause of death, killing 19.8 million people worldwide in 2022, the IHME said last year.
The most common neurological disorders were tension headaches and migraines.
The quickest-growing condition was nerve damage called diabetic neuropathy from soaring cases of diabetes.
Most of these conditions have no cure.
But there are ways to lessen the risk, including reducing rates of high blood pressure, diabetes and alcohol consumption, the researchers said.
They called for much more to be done to prevent, treat and rehabilitate the disorders, which disproportionately affect poorer countries.
"The worldwide neurological burden is growing very fast and will put even more pressure on health systems in the coming decades," warned study co-author Valery Feigin.
U.Ndiaye--CPN