-
Reapertura de la ruta Miami-Caracas, símbolo de la reintegración aérea de Venezuela
-
Meta cae un 10% y Alphabet se dispara más de un 6% tras sus resultados trimestrales
-
La UE anuncia planes para relajar las normas sobre fusiones empresariales
-
El cohete europeo Ariane 6 colocó en órbita un segundo lote de satélites de Amazon Leo
-
La Casa Blanca se opone a que Anthropic amplíe acceso a su modelo Mythos (medios)
-
Cuatro rescatados tras caer un autobús al Sena cerca de París
-
Se reanudan los vuelos comerciales de Miami a Caracas al cabo de siete años
-
Mal comienzo de año para la eurozona, con crecimiento casi nulo e inflación al alza
-
La matriz de Google se dispara y sus rivales tambalean ante costos de la IA
-
Las ganancias netas de Volkswagen se desploman un 28%, por lo que acelerará sus ahorros
-
El presidente de Irán afirma que el bloqueo naval de EEUU está "condenado al fracaso"
-
El BBVA anuncia un beneficio en fuerte alza del 10,8% en el primer trimestre
-
La economía española creció un "sólido" 0,6% en el primer trimestre, pese a la guerra
-
Mamdani pide al rey Carlos que "devuelva" preciado diamante que reclama India
-
Puntos clave de la primera conferencia global para la eliminación de los combustibles fósiles
-
OMP, entre los dos mejores en los cuatro casos de uso del informe 2026 Gartner(R) Critical Capabilities
-
La Fed mantiene sin cambios las tasas de interés por tercera reunión consecutiva
-
Miedo y resentimiento: la violencia contra figuras de la IA
-
La UE acusa a Meta de permitir el acceso de menores de 13 años a Facebook e Instagram
-
Powell concentra la atención de la reunión de la Fed, que se prevé mantenga las tasas
-
Primer lanzamiento exitoso de Thundart, cohete de largo alcance de Safran y MBDA
-
Banco Santander suma un nuevo beneficio récord en el primer trimestre
-
"¡Más les vale espabilar pronto!", advierte Trump a Irán ante el limbo de las negociaciones
-
Venezuela y la italiana ENI firman un convenio para incrementar la producción de gas
-
El jefe del Pentágono testificará por primera vez ante el Congreso sobre la guerra en Irán
-
Los camiones eléctricos, más baratos y limpios, transforman la logística de China
-
Estocolmo experimenta con una cafetería completamente dirigida por IA
-
Una empresa de limpieza se vuelve viral en Japón por su servicio de "spa para peluches"
-
Los fenómenos climáticos extremos aumentan en Europa, que teme por El Niño
-
Copa anuncia la compra de 60 aviones Boeing 737 MAX por 13.500 millones de dólares
-
Avanza con éxito el rescate de "Timmy", la ballena varada en aguas alemanas
-
Los beneficios de Airbus caen por las bajas entregas de aviones comerciales
-
Francia investiga la reaparición de una web vinculada a violaciones en el caso Pelicot
-
Los mineros turcos ponen fin a su huelga de hambre por salarios atrasados
-
El beneficio neto del fabricante de autos chino BYD cae un 55% en el 1T
-
Emiratos Árabes Unidos se retirará de la OPEP a partir de mayo
-
Japón aumenta sus previsiones inflacionarias ante el efecto de la guerra en el petróleo
-
Venezuela invita a Barbados a invertir en campos petroleros
-
La Cepal rebaja la proyección de crecimiento de América Latina por el conflicto en Medio Oriente
-
Un tercer sospechoso se declara culpable en la muerte de la figura del hip hop Jam Master Jay
-
El Banco Central de Venezuela contrata una firma para auditar sus activos en el extranjero
-
Trabajadores de Google piden que el Pentágono no use su IA para trabajos clasificados
-
La UE quiere obligar a Google a abrir Android a las IA rivales
-
La policía turca disuelve una protesta de mineros en huelga de hambre
-
La ONU arremete contra Suecia por expulsar a un niño discapacitado
-
El primer ministro Carney lanza el fondo soberano de Canadá por 18.000 millones de dólares
-
Al "puro cash" o trueque, bulle un popular mercado de animales en El Salvador
-
BP reporta un fuerte aumento de sus beneficios en el 1T por el alza del petróleo
-
Israel utiliza el agua como un arma contra los palestinos en Gaza, sostiene MSF
-
Comienzan alegatos en pleito judicial que enfrenta a Elon Musk con OpenAI
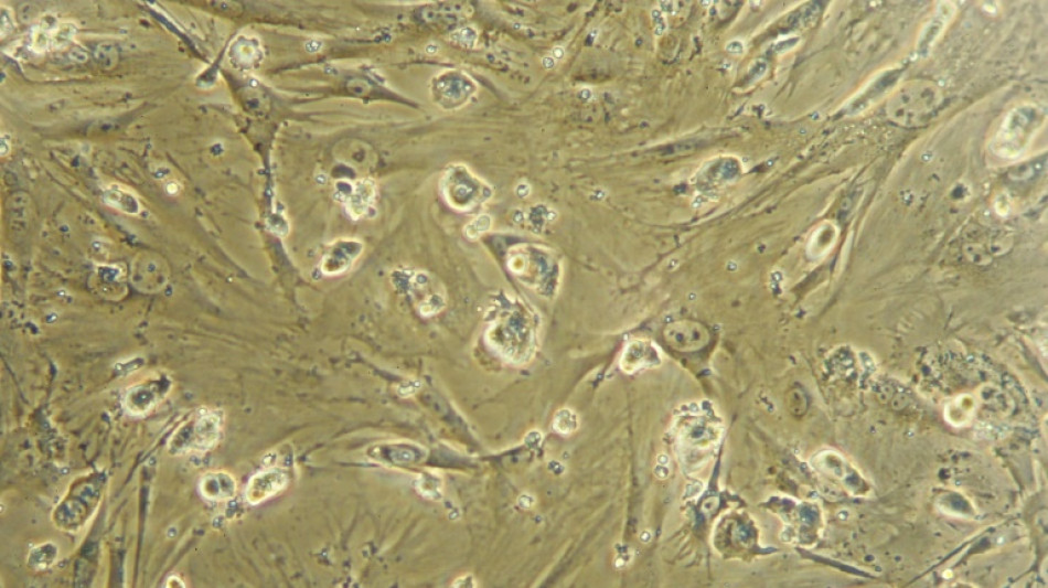
Científicos japoneses logran avances en lesiones medulares con un tratamiento de células madre
Un tratamiento pionero con células madre ayudó a mejorar la función motora de dos de cuatro pacientes con lesiones de la médula espinal en el primer estudio clínico de este tipo, anunciaron los científicos japoneses que lo llevaron a cabo.
En la actualidad no existe ningún tratamiento eficaz para la parálisis causada por lesiones graves de la médula espinal.
Los investigadores de la Universidad Keio de Tokio realizaron su estudio con células madre pluripotentes inducidas (iPS).
Las células iPS, creadas a partir de células adultas, se reprograman genéticamente para multiplicarse en cualquier tipo de célula, dependiendo del lugar del cuerpo donde se trasplanten.
La universidad japonesa afirmó el viernes que la función motora de dos pacientes mejoró tras un trasplante de dos millones de células iPS en su médula espinal.
"Hemos podido obtener resultados para el primer tratamiento mundial de la médula espinal con células iPS", declaró a la cadena pública NHK Hideyuki Okano, profesor de Keio a cargo de la investigación clínica.
El principal objetivo de este estudio clínico era confirmar la seguridad de este método de tratamiento.
Uno de los dos pacientes trasplantados, un anciano herido en un accidente, es ahora capaz de mantenerse en pie sin apoyo y está entrenándose para caminar, informó NHK.
La Universidad de Keio recibió la autorización de las autoridades japonesas en 2019 para esta investigación pionera, que se retrasó debido a la pandemia de covid-19.
Los detalles de los pacientes se han mantenido confidenciales, pero el equipo médico se está centrando en personas con lesiones medulares muy recientes, de entre 14 a 28 días antes de la operación.
D.Philippon--CPN